바른기준
바른기준치과 특별함
전문 의료진
디지털 클리닉
병원 둘러보기
진료시간 & 오시는길
바른교정
바른교정의 특별함
투명교정
돌출입교정
부분교정
고난도 교정
바른임플란트
네비게이션 임플란트
수면 임플란트
고난도 임플란트 재수술
자연치아보존 클리닉
충치&신경치료
프리미엄 스케일링
잇몸치료
무통마취
일반진료
수면치료
턱관절 클리닉
사랑니 발치
치아 미백
커뮤니티
병원소식
이벤트
치료사례
자필후기
비급여진료수가
로그인
·
회원가입
바른기준
바른기준치과 특별함
전문 의료진
디지털 클리닉
병원 둘러보기
진료시간 & 오시는길
바른교정
바른교정의 특별함
투명교정
돌출입교정
부분교정
고난도 교정
바른임플란트
네비게이션 임플란트
수면 임플란트
고난도 임플란트 재수술
자연치아보존 클리닉
충치&신경치료
프리미엄 스케일링
잇몸치료
무통마취
일반진료
수면치료
턱관절 클리닉
사랑니 발치
치아 미백
커뮤니티
병원소식
이벤트
치료사례
자필후기
비급여진료수가
청주교정치과 바른기준치과
치료사례
전체
치아교정
임플란트
기타
전체
제목
내용
검색
로그인 후
보실 수 있습니다.
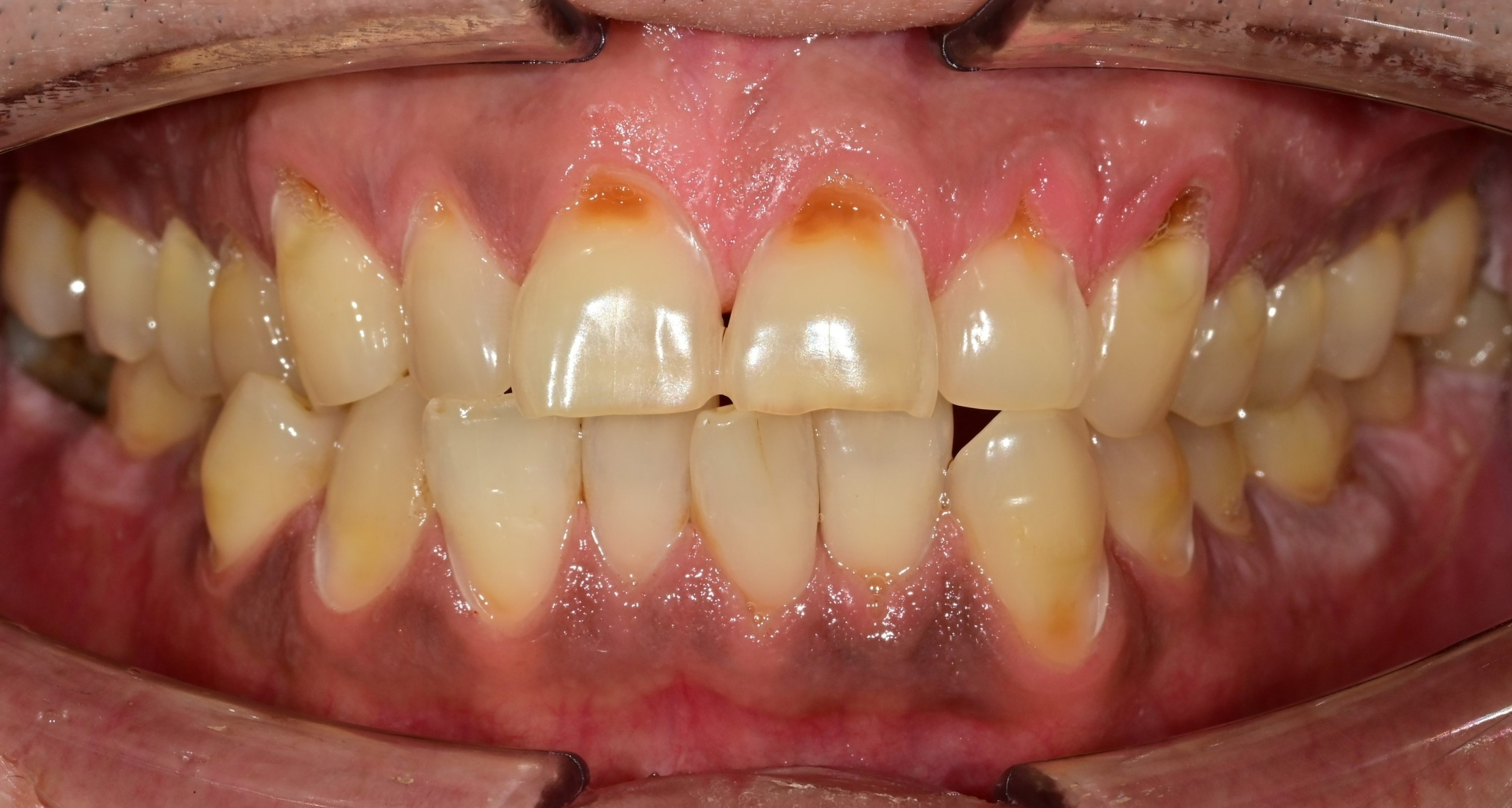
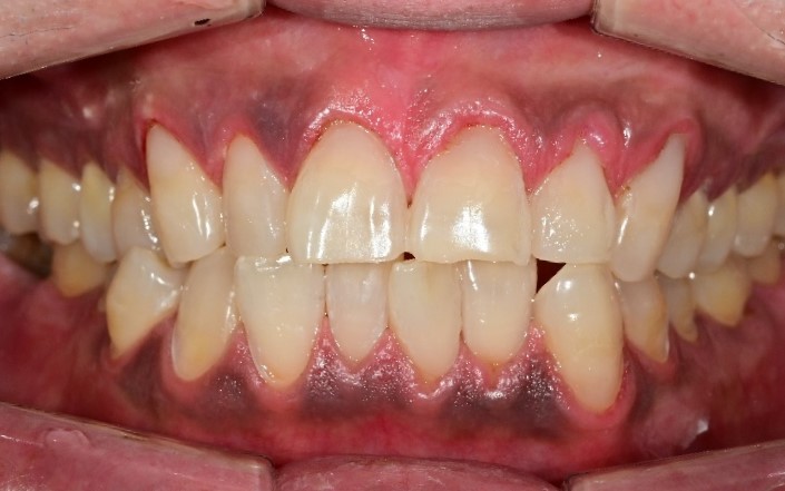
[기타]
미백+치경부레진
로그인 후
보실 수 있습니다.
[기타]
치아미백
로그인 후
보실 수 있습니다.
[기타]
치주치료+치경부레진+미백
로그인 후
보실 수 있습니다.
[치아교정]
치아교정(부정교합)
로그인 후
보실 수 있습니다.
[임플란트]
임플란트+충치치료
로그인 후
보실 수 있습니다.
[치아교정]
치아교정(전체교정)
로그인 후
보실 수 있습니다.
[기타]
앞니 부러짐 -크라운치료
로그인 후
보실 수 있습니다.
[치아교정]
치아교정(전체교정)
로그인 후
보실 수 있습니다.
[임플란트]
전악 임플란트
로그인 후
보실 수 있습니다.
[기타]
치아미백
로그인 후
보실 수 있습니다.
[임플란트]
임플란트
로그인 후
보실 수 있습니다.
[기타]
잇몸성형술
로그인 후
보실 수 있습니다.
[치아교정]
치아교정(전체교정)
로그인 후
보실 수 있습니다.
[임플란트]
임플란트
로그인 후
보실 수 있습니다.
[기타]
치아미백
로그인 후
보실 수 있습니다.
[기타]
치아사이 공간(레진치료)
로그인 후
보실 수 있습니다.
[임플란트]
어금니 임플란트
로그인 후
보실 수 있습니다.
[기타]
앞니 벌어짐(Diastema)
로그인 후
보실 수 있습니다.
[치아교정]
치아교정 + 치아미백
로그인 후
보실 수 있습니다.
[임플란트]
임플란트
로그인 후
보실 수 있습니다.
[치아교정]
치아교정(치아사이 벌어짐)
로그인 후
보실 수 있습니다.
[치아교정]
치아교정
로그인 후
보실 수 있습니다.
[기타]
치아미백
로그인 후
보실 수 있습니다.
[임플란트]
임플란트+사랑니발치
로그인 후
보실 수 있습니다.
[치아교정]
치아교정+충치치료
로그인 후
보실 수 있습니다.
[기타]
앞니 충치치료
로그인 후
보실 수 있습니다.
[치아교정]
전체 치아교정
로그인 후
보실 수 있습니다.
[임플란트]
임플란트
로그인 후
보실 수 있습니다.
[치아교정]
부분교정(앞니 벌어짐)
로그인 후
보실 수 있습니다.
[기타]
충치치료
로그인 후
보실 수 있습니다.
[치아교정]
개방교합 교정
로그인 후
보실 수 있습니다.
[임플란트]
임플란트+치아교정(+잇몸치료)
로그인 후
보실 수 있습니다.
[임플란트]
무치악 임플란트
로그인 후
보실 수 있습니다.
[기타]
실활치 미백(치아변색)
로그인 후
보실 수 있습니다.
[임플란트]
전악 임플란트
로그인 후
보실 수 있습니다.
[치아교정]
비발치 교정
로그인 후
보실 수 있습니다.
[기타]
앞니 벌어짐 레진치료(Diastema)
로그인 후
보실 수 있습니다.
[기타]
앞니 부러짐 크라운치료
로그인 후
보실 수 있습니다.
[치아교정]
덧니교정
로그인 후
보실 수 있습니다.
[기타]
치아미백
로그인 후
보실 수 있습니다.
[임플란트]
구치부 임플란트
로그인 후
보실 수 있습니다.
[치아교정]
심미교정
<
>